支气管扩张的辅助检查是2020年临床助理医师考试中呼吸系统涉及到的重点,医学教育网编辑为大家整理了具体的知识点,详情如下:
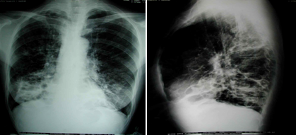
①胸部X线片
粗乱
支气管柱状扩张典型的表现是轨道征,为增厚的支气管壁影。
囊状扩张特征性改变为卷发样阴影,表现为粗乱肺纹理中有多个不规则的蜂窝状透亮阴影。

例题
女,43岁。反复咳嗽咳脓痰10年,加重5天入院。吸烟史15年,已戒10年。查体:右下肺可闻及较多湿罗音及少量哮鸣音,可见杵状指。胸部X线片示右下肺纹理增粗、紊乱。应首先考虑的诊断
A.支气管结核
B.慢性阻塞性肺疾病
C.支气管肺癌
D.支气管哮喘
E.支气管扩张症
『正确答案』E
『答案解析』患者有反复的咳嗽、听诊下肺部有啰音、有杵状指等临床表现,结合胸片:肺纹理增粗,考虑符合支气管扩张。
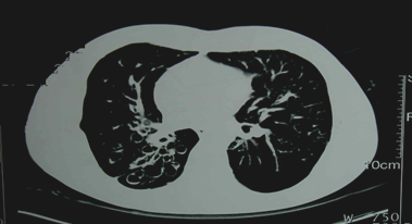
②胸部CT
可显示管壁增厚的柱状扩张或成串成簇的囊状改变。高分辨CT(HRCT)(可确诊)。

例题
目前对支气管扩张最有确诊价值的检查是
A.胸透
B.胸部正、侧位片
C.肺动脉造影术
D.肺部HRCT
E.MRPA
『正确答案』D
『答案解析』胸部CT可显示管壁增厚的柱状扩张或成串成簇的囊状改变。高分辨CT(HRCT)(可确诊),支气管造影:由于该检查为创伤性检查,已被CT取代,所以最有确诊价值的检查选择D.
支气管造影:
由于该检查为创伤性检查,已被CT取代。
纤维支气管镜:
纤支镜镜下见弹坑样改变,并可发现部分患者的出血部位或阻塞原因。还可进行局部灌洗,取灌洗液作细菌学和细胞学检查。
细菌学检查:
痰液涂片染色以及痰液细菌培养,有利于指导抗生素治疗。
诊断和鉴别诊断
慢性咳嗽、大量脓痰、反复咯血和既往有诱发支气管扩张的呼吸道反复感染病史,肺部闻及固定而持久的局限性粗湿啰音体征,结合影像学检查,尤其是胸部CT或HRCT可明确诊断。
病史;症状体征;影像
鉴别诊断
①慢性支气管炎:冬春季节咳嗽、咳痰明显,多为白色泡沫黏液痰,感染急性发作时可出现脓性痰。无反复咯血史,两肺可有散在的干湿啰音。
无影像学特殊表现
②肺脓肿:
起病急,有高热、咳嗽、大量脓臭痰。
X线检查可见局部浓密炎症阴影,中有气液平面。
影像:气液平面

③肺结核:
常有低热、盗汗、乏力和消瘦等结核性全身中毒症状
干湿啰音常局限于上肺部
X线胸片和痰结核菌检查可作出诊断。
结核中毒症状;痰找结核菌

④先天性肺囊肿
胸部X线检查可见多个边界清晰的圆形或椭圆形阴影,壁较薄,周围组织无炎症浸润。
胸部CT检查和支气管造影可助诊断。
⑤支气管肺癌
多见于吸烟者,有刺激性干咳,间断或持续血痰症状,大咯血少见,仅在肿瘤表面糜烂严重侵犯大血管时发生
胸部影像学和(或)纤支镜检查可发现肺部病变。
病理确诊

例题
男,36岁。反复咳嗽,咳痰4年。多于上呼吸道感染后发生,脓性痰,有时痰中带血,常伴发热。期间3次胸部X线片检查均为右下肺炎,经抗感染治疗可好转。本次上感后再次出现咳嗽,少量脓性痰查体:右下肺可闻及中小水泡音。为明确诊断,宜首选的检查
A.痰找癌细胞
B.痰找抗酸杆菌
C.胸部CT
D.支气管镜
E.痰培养+药敏
『正确答案』C
『答案解析』根据题干给出的条件,患者年轻男性,反复咳嗽咳痰,有咯血情况,抗感染治疗有效,可以排除肺癌和肺结核,结合胸片,考虑此患者为支气管扩张,所以首选的检查选择C.
最常考的关于咳血的疾病
1. 肺癌
2. 肺结核
3. 支扩
女,40岁。今晨起咯血约100ml,无发热。幼年起反复咳嗽、咳痰。查体:T36.8℃,BP120/70mmHg,左肺可闻及湿性啰音。该患者最可能的诊断是
A.肺结核
B.支气管扩张
C.支气管肺癌
D.慢性支气管炎
E.肺炎链球菌肺炎
『正确答案』B
『答案解析』结合患者幼年出现肺部感染情况,现有肺部啰音、咯血、咳嗽咳痰等情况,考虑支气管扩张。
最常考的关于咳血的疾病
治疗
治疗原则:由发病机制可知
例题
支气管扩张症的治疗主要是
A.手术治疗
B.气功锻炼
C.保持呼吸道通畅和控制感染
D.治疗鼻窦炎和上呼吸道感染
E.预防应用气管炎菌苗
『正确答案』C
『答案解析』支气管扩张在治疗上主要就是清除痰液,控制感染是关键。
①治疗基础疾病
如对活动性肺结核伴支气管扩张者应积极抗结核治疗,对低免疫球蛋白血症可用免疫球蛋白替代治疗。
②控制感染
依据痰培养指导选择抗生素。
初治时可经验性治疗,如轻症者可选用口服阿莫西林,或第一、二代头孢;喹诺酮类、磺胺类。
重症患者特别是假单胞菌属细菌感染者,须选用抗假单胞菌抗生素,常静脉用药,如头孢他啶、头孢吡肟和亚胺培南等。
厌氧菌混合感染,加甲硝唑或替硝唑,或克林霉素。
慢性咳脓痰的患者可选择使用疗程更长的抗生素,如雾化吸入庆大霉素或妥布霉素,或间断并规则使用单一抗生素以及轮换使用抗生素。
例题
支扩厌氧菌感染使用何种抗生素
A阿奇霉素
B环丙沙星
C万古霉素
D卡那霉素
E甲硝唑
『正确答案』E
咯血的治疗
痰中带血或小量咯血:
对症治疗为主(休息、止咳、镇静、口服止血药)
中等或大量咯血:
垂体后叶素
例题
女性,25岁。支扩病人。2天前咳血痰,今日咯血量达20ml左右。既往身体健康。体检:体温37.0℃,右下肺固定湿罗音,此病人首选止血药物是
A.垂体后叶素
B.6氨基己酸
C.立止血(巴曲酶)
D.氨基甲酸
E.安络血
『正确答案』A
『答案解析』患者考虑为支气管扩张,此患者咯血量大,首选止血药物为垂体后叶素。
③改善气流受限:
支气管扩张剂可改善气流受限,并协助清理气道分泌物。
④清除气道分泌物:
给予祛痰药的同时,加以振动、拍背及体位引流等物理治疗有利于清除气道分泌物,保持呼吸道引流通畅。
例题
左肺支扩,为方便清除气道分泌物应采取
A平卧位
B端坐位
C站立位
D健侧卧位
E患侧卧位
『正确答案』D
『答案解析』利用重力原理,健侧卧位,有利于患侧痰液引流,选择D.
⑤外科治疗
反复呼吸道急性感染或大咯血,病变范围局限在一叶或一侧肺组织,经充分的内科治疗无效者,可考虑外科手术治疗。
大出血多见于支气管动脉破裂,经药物治疗不能缓解反复发生威胁生命的大咯血,可考虑外科手术或支气管动脉栓塞术。
反复;大;
局限;
内科无效
例题
女,17岁。反复发作咳嗽、咳痰10年。近3年反复咯血,最多一次量约200ml.现胸部CT示左下肺萎缩,可见囊柱状支气管扩张影像。最佳治疗方案是
A.吸氧、止血治疗
B.抗炎治疗
C.解痉、化痰
D.体位排痰
E.左下肺叶切除
『正确答案』E
『答案解析』患者反复大量的咯血,病变局限在左下肺,可以考虑手术治疗。
重点提示
1. 病因(最常见感染病因,最常见感染细菌)
2. 病理(好发部位)
3. 临床表现(症状:咳痰;咯血——干性支气管扩张)(体征:湿啰音的特点)
4. 辅助检查(胸片,CT)
5. 治疗(治疗感染和阻塞)
以上关于“2020年临床助理医师考点-支气管扩张的辅助检查”的文章由医学教育网编辑整理搜集,希望可以帮助到大家,更多的文章随时关注医学教育网临床助理医师辅导精华栏目!















扫一扫立即下载


