关于“2021年临床执业医师实践技能考试多媒体考试样题16道”相关内容,相信参加医师实践技能考试的考生都在关注,为方便大家了解,在此医学教育网小编为大家整理如下:
【答案】C
【答案】D
【答案】A
【答案】C

【答案】D
【答案】B
【答案】B
【答案】C
【答案】B
【答案】D
【答案】C
【答案】C
男性,55岁,上腹隐痛约十年,请做出正确诊断
A.胃癌
B.胃溃疡
C.十二指肠溃疡
D.食管癌
E.胃憩室
【答案】B
男,45岁,摔伤40分钟,诊断为
A.右尺骨骨折
B.右桡骨骨折
C.右肱骨骨折
D.左肱骨骨折
E.右肱骨骨质疏松
【答案】C

患者,女性,20岁。胸腹部被车撞伤5小时。诊断为
A.肝破裂
B.脾破裂
C.肝脾破裂
D.肝肾挫裂伤
E.肾损伤
【答案】A

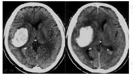
男55岁,左侧肢体偏瘫4小时,有高血压史,诊断为
A.急性硬膜下血肿
B.急性硬膜外血肿
C.颅骨骨折
D.急性脑梗死
E.急性脑出血
【答案】E
“2021年临床执业医师实践技能考试多媒体考试样题16道”的内容,由医学教育网编辑整理搜集,更多考试信息敬请关注医学教育网。

相关资讯
- · 浙江宁波2025年医师实践技能考试缴费时间已定!逾期无法补报
- · 浙江余姚2025年医师实践技能考试网上缴费3月28日结束
- · 温馨提醒:浙江临海考点2025年医师实践技能考试缴费安排
- · 浙江湖州2025年医师实践技能网上缴费3月28日截止
- · 提醒考生:2025年医师(浙江瑞安)考点实践技能缴费抓紧时间
- · 浙江义乌2025年医师实践技能缴费什么时候截止
- · 注意逾期不能补报!浙江温岭2025年医师技能缴费时间过半
- · 浙江温州2025年医师实践技能考试网上缴费入口开通时间:3月20日至3月28日
- · 浙江绍兴2025年医师实践技能缴费已开始!注意截止时间
- · 浙江杭州考点2025年医师技能考试缴费截止时间3月28日



























扫一扫立即下载


