编辑推荐
考试辅导
肺结核,是现代社会人们不可忽视的一种疾病,越来越多的人因为忽视其严重性,而增加患病率。并且肺结核一般都是通过呼吸道传播,更容易增加患病率,但是健康人感染结核菌并不一定发病,只有在机体免疫力下降时才发病,所以在早期的时候肺结核疾病是不容易被人发现判定的,那么如何判定自己是否得了肺结核呢?这就需要我们借助各种医疗手段进行好常规检查及辅助检查,才能防患于未然或者及早治疗!

第一、肺结核需要做的常规检查:
①面对就诊的患者,医生会询问其接触史或既往有胸膜炎、肛瘘、颈淋巴结肿大、糖尿病及卡介苗接触史。早期干咳,空洞形成合并感染时痰呈粘液脓性或脓性,咯血,胸痛,严重者有呼吸困难。
②针对有些就诊人员,粟粒性肺结核和干酪性肺炎往往伴高热,有的可伴关节痛,女性可有月经失调。有可能有结核中毒症状,如低热、全身不适、乏力、盗汗、食欲下降、面颊潮红等。
第二、肺结核需要做的辅助检查:
①结核菌素试验对婴儿的诊断意义较大,3岁以下阳性提示有活动性肺结核。
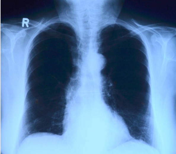
②胸部X线检查用透视、后前位胸片、前弓位摄片、点片、肺尖部摄片、断层摄片。
③早期,叩诊呈浊音,病变范围小或位于肺组织深部,可无异常体征。病变范围较大,患侧呼吸运动减低。
除以上检查外,肺结核病人还要做CT检查等。有时肺结核病人还需要做更为全面的检查,以便发现还有没有其他与此相关的疾病。
相信各位读者通过阅读肺结核要做的常规检查及辅助检查内容,一定能察觉到肺结核疾病的危害性,从而能够及早进行有效的检查,将疾病扼杀在摇篮里!同时医学教育网小编提醒大家可以将这篇文章分享给更多朋友,让更多人了解,引起足够重视!