突发雷击样头痛-警惕皮层静脉血栓形成:
头痛是神经内科患者常见的症状之一,而其中雷击样头痛(thunderclap headache)是蛛网膜下腔出血特征性的表现之一。近期,BMJ Case Rep杂志发表了由马耳他学者Vassallo等报道的一例表现为雷击样头痛的患者,而经过详细检查之后,发现其诊断不仅仅只是蛛网膜下腔出血。
病例描述:
63岁女性患者,主因严重的前额部雷击样头痛以及短暂性视物模糊来诊。既往只有高血压病史。体格检查显示血压160/90 mmHg,无颈强直或发热。眼底检查显示无视乳头水肿,其他神经系统检查正常。
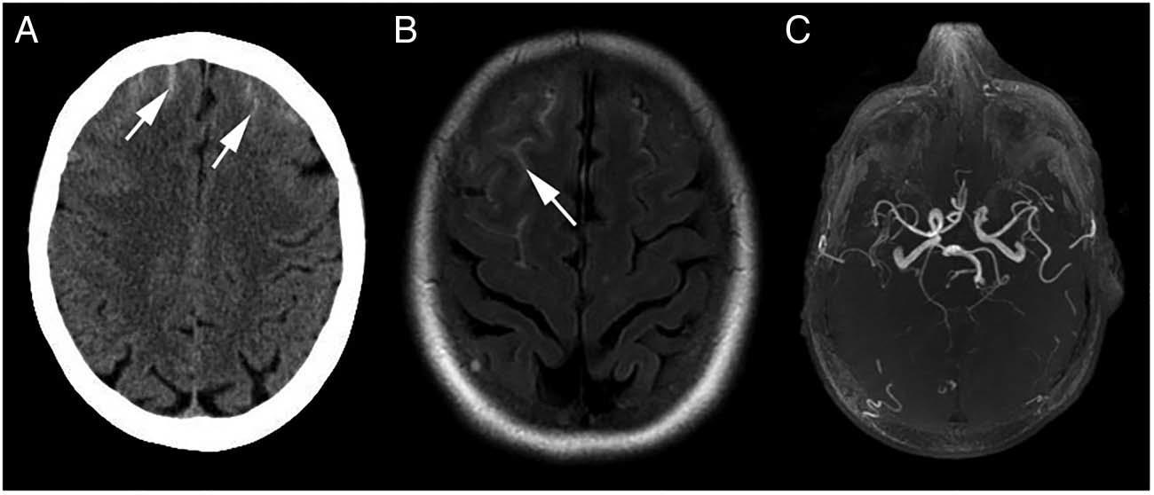
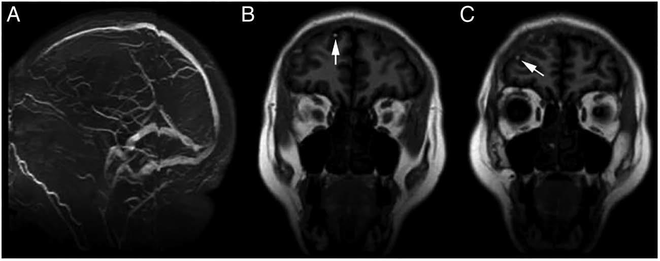
头颅平扫CT显示双侧额叶少量蛛网膜下腔出血(图1 A),但头颅CT未显示存在颅内动脉瘤。行头颅MRI检查,Flair像证实了蛛网膜下腔出血(图1 B),MRA检查显示正常(图1 C)。MRV排除了大静脉窦血栓形成的可能性(图2 A),而T1加权像证实了额叶皮层静脉血栓形成(图2 B,C)。给予患者肝素治疗后,患者头痛症状逐渐好转。
图1.平扫轴位头颅CT(A)显示双侧额上沟高信号(箭头所示),与蛛网膜下腔出血表现一致。Flair像(B)证实了蛛网膜下腔出血(箭头所示),右侧为著。MRA(C)显示Willis环正常,无动脉瘤证据

图2. MRV(A)证实颅内静脉窦正常,无血栓证据。冠状位Flair像显示右侧皮层静脉内高信号(箭头所示,B)以及皮层静脉血栓形成(C)

讨论:
皮层静脉血栓形成(CVT)占青年卒中患者的1%-2%.孤立性CVT而不伴有静脉窦受累的情况十分少见,大约占6%.其潜在的发生机制尚不清楚。神经系统的症状包括癫痫、偏瘫、失语,无颅内压增高的证据。CVT同时伴有蛛网膜下腔出血的情况及其罕见医|学教育网整理,仅有少数文献报道。
皮层静脉血栓形成的核磁表现取决于血栓形成的时间,可表现为T1和T2的高信号。常规的血管造影可证实诊断。
学习要点:
1.皮层静脉血栓占青年卒中的1%-2%,MRI可证实诊断;
2.孤立性皮层静脉血栓而不伴有静脉窦受累的情况十分罕见;
3.皮层静脉血栓伴有蛛网膜下腔出血的情况极其罕见。