早产新生儿卒中显示独特皮层损伤类型:
围产期动脉缺血性卒中(PAIS)是新生儿期常见的神经系统疾病之一,随着影像学技术的发展,对PAIS的诊断技术也大有提高。累及大脑中动脉范围的PAIS通常可见皮层灰质和皮层下白质的损伤。然而,来自荷兰的学者Niek等报道了一种独特的PAIS损伤类型,发表在近期的Stroke杂志中。
该研究纳入了40例大脑中动脉大范围缺血性卒中的新生儿,其中12例为早产儿,28例为足月儿。对这些患儿进行磁共振扫描,分析其影像学表现与预后的关系。
研究者在3例早产儿中观察到皮层灰质完全不受累,以及皮层下白质空腔形成(见图示);在其他4例晚期早产儿中观察到皮层灰质部分不受累。而在足月儿中,只有1例患者出现了皮层灰质部分不受累,其他患儿均有皮层灰质受累。

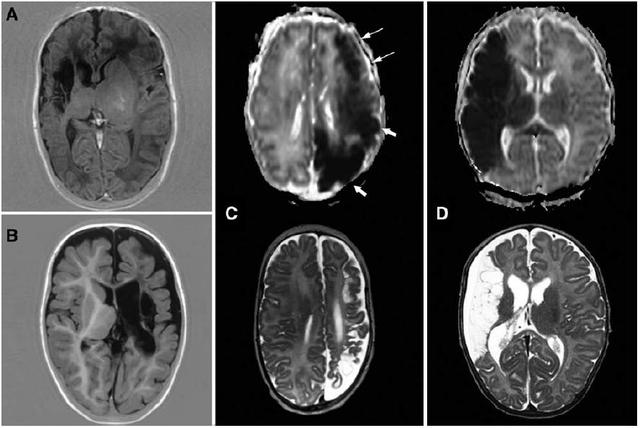
图为4例大脑中动脉(MCA)卒中的患儿磁共振(MRI)表现为不同程度的皮层受累的情况。有2例患儿表现为皮层灰质完全不受累,A和B分别为32周和28周早产儿在3个月和18个月时的影像学表现;C图为35w+3的1例患者的ADC图像,显示大脑中动脉和大脑后动脉卒中。尽管ADC成像显示枕叶和顶叶皮层灰质和白质均有受累(粗箭头所示),但额叶的皮层灰质没有受累(细箭头所示)。医|学教育网整理这种部分受累的形式在3个月时仍然保留,即枕叶几乎完全损伤,但额叶皮层部分保留。该例患儿后来出现难治性癫痫并需要半球切除术治疗;D图为一例足月MCA卒中的患儿,皮层灰质和皮层下白质均有受累。3个月MRI显示既往卒中区域内灰质完全破坏
所有患儿的症状中,86%表现为偏瘫,30%患儿发育商低于85;但是在不同皮层损伤类型患者中这些症状没有显著差异。
该研究结论认为,与出生月龄相关大脑中动脉卒中患儿出现皮层损伤类型的改变,这可能与颅内血管系统成熟度的不同相关。在不同类型皮层损伤的患者中症状与预后表现无显著差异。