2019年口腔执业助理医师考试综合笔试即将拉开帷幕,医学教育网编辑将整理的“考前估分|2019年口腔执业助理医师模拟试卷第1单元(十)”分享发给大家,希望对大家夯实考点知识有所帮助。
(91——92题共同题干)
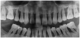
患者女性,59岁,右侧后牙咀嚼无力,刷牙时牙龈出血。无系统性疾病。口腔检查显示全口多数牙牙石(++),牙龈红肿,探诊出血,牙周袋袋深4——6mm,右下后牙有Ⅰ——Ⅱ度松动,X线片如图所示:

91.初步诊断是
A.慢性牙周炎
B.侵袭性牙周炎
C.坏死溃疡性牙周炎
D.急性坏死性溃疡性龈炎
E.Down综合征
92.本病的主要致病菌是
A.黏放线菌
B.变形链球菌
C.伴放线聚集杆菌
D.牙龈卟啉单胞菌
E.梭形杆菌
(93——95题共同题干)
患者,女,7岁,因多数乳恒牙龋坏去口腔科就诊。医生治疗龋坏后建议使用氟水漱口防龋。
93.一次应使用的剂量是
A.2ml
B.3ml
C.5ml
D.8ml
E.10ml
94.含漱的时间
A.10秒
B.30秒
C.1分钟
D.21分钟
E.3分钟
95.含漱后多长时间不进食或漱口
A.5分钟
B.15分钟
C.30分钟
D.40分钟
E.60分钟
(96——98题共同题干)
患儿7岁,因左下后牙痛疼痛,不能入睡就诊。检查:全口卫生较差,左下6(牙合)面深龋洞,探诊质软,敏感,探及两处穿髓孔,温度测试剧烈疼痛,叩痛(±),X线检查根尖口呈喇叭口状。左下Ⅴ近中邻(牙合)面龋,龋洞及髓,探诊无反应,温度测试无反应,Ⅲ°松动,叩痛(++)。X线检查:根尖透射区边缘不清楚,透射区边缘接近恒牙胚。
96.患者主诉诊断正确的是
A.左下6深龋
B.左下6可复性牙髓炎
C.左下6急性牙髓炎
D.左下Ⅴ急性牙髓炎
E.左下Ⅴ急性根尖周炎
97.对于主诉患牙处理正确的是
A.牙拔除术
B.冠髓切断术
C.根管治疗术
D.直接盖髓术
E.根尖诱导成形术
98.对于非主诉患牙处理正确的是
A.间接盖髓术
B.直接盖髓术
C.冠髓切断术
D.牙拔除术
E.根尖诱导成形术
(99——101题共同题干)
患者,男性,38岁,发现左上第二双尖牙腭侧牙龈发白3天,检查见患部有1cm×0.5cm大小白色角化斑块,表面棘刺状。
99.下列哪项信息无助于诊断或者鉴别诊断
A.家族史
B.梅毒病史
C.局部残根、残冠
D.吸烟
E.药物过敏史
100.下列哪项措施对确立诊断最为关键
A.直接免疫荧光检查
B.涂片检查
C.血化验
D.组织病理检查
E.甲苯胺蓝染色
101.对于该病首选应采取的治疗措施是
A.激素治疗
B.免疫调整
C.给予抗生素
D.心理治疗
E.去除可能的致病因素
〖医学教育网版权所有,转载必究〗
附件:考前估分|2019年口腔执业助理医师模拟试卷第1单元解析
编辑推荐:
“考前估分|2019年口腔执业助理医师模拟试卷第1单元(十)”的内容,由医学教育网编辑搜集整理,希望对大家有帮助。祝大家都取得好成绩,顺利通过考试!

- · 2025年口腔助理医师考试有哪些变化?2026年考试应该怎么学?
- · 2025年口腔助理医师各科目分值占比如何?2026年按这个复习行吗?
- · 抢分冲刺!2025年医师资格《历年考点题》上线!0.1元拿下冲刺利器!
- · 2025年口腔助理医师考试审核阶段,如何有效率地备考?
- · 2025年口腔助理医师考试中实践技能的常见失误如何避免?
- · 【0元解锁】2025口腔助理医师考试精选近3年《历年考点题》
- · 2025年口腔助理医师考生速来!《历年考点题》上线体验版拼团仅需0.1元
- · 【限时拼团】2025年口腔助理医师《历年考点题》全新升级,新增24年!
- · 2024年口腔助理医师考前仿真模考3套卷,限时5折,低至10元!
- · 2024年口腔助理医师全面启航,备考正当时!好课如何选?












扫一扫立即下载


