2021临床助理医师实践技能病例分析:急性肠梗阻,相信是考生们关注的事情,医学教育网小编整理了考试重点内容,希望对考生复习有所帮助。
女性,35岁。腹痛、腹胀、呕吐,无排便、排气1天。
患者于1天前无明显诱因出现阵发性腹痛,呈绞痛,以右下腹为重,同时感腹胀,无肛门排便、排气。腹痛逐渐加重,伴恶心、呕吐,呕吐物初为胃液及胆汁,以后呕吐物有粪臭味。共呕吐5~6次,量为1000~1500ml,尿量约500ml/天,对症治疗未见明显好转。2年前曾因急性阑尾炎穿孔行阑尾切除术。
查体:T 37℃,P 102次/分,R 20次/分,BP 130/80mmHg。急性病容,神志清,全身皮肤未见黄染,皮肤黏膜干燥,弹性稍差。双肺未闻及干湿性啰音,心界不大,心率102次/分,律齐,腹膨隆,右下腹有手术瘢痕,可见肠型及蠕动波,全腹深压痛,无肌紧张,未触及明确肿块,肝脾肋下未触及,肠鸣音亢进。直肠指诊:腔内空虚,未触及明确肿物,指套无血迹。
实验室检查:血常规:Hb 160g/L,WBC 11.5×109/L,N 0.72,PLT 210×109/L。血K+ 3.0mmol/L,血Na+ 135mmol/L,血Cl- 105mmol/L。
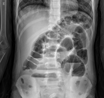
立位腹部X线平片如下图。

评分标准(总分22分)
一、初步诊断(5分)
1.急性肠梗阻。机械性、完全性、单纯性低位小肠梗阻。(答对2项即得1分)(2.5分)
2.低钾血症。(2分)
3.阑尾切除术后。(0.5分)
二、诊断依据(初步诊断错误,诊断依据不得分。未分别列出各自诊断依据,扣1分)(5分)
1.急性肠梗阻
(1)腹部手术史。(1分)
(2)腹痛、腹胀、呕吐,无排便、排气1天,呕吐物有粪臭味。(1分)
(3)腹部膨隆,可见肠型及蠕动波,肠鸣音亢进。(1分)
(4)立位腹部X线平片可见多个气液平面。(1分)
2.低钾血症:实验室检查血K+ 3.0mmol/L。(0.5分)
3.阑尾切除术后:2年前曾因急性阑尾炎穿孔行阑尾切除术。(0.5分)
三、鉴别诊断(3分)
1.肠道肿瘤。(2分)
2.动力性肠梗阻。(1分)
四、进一步检查(3分)
1.尿常规检查。(1分)
2.腹部B超。(1分)
3.肿瘤标志物检查。(0.5分)
4.肝、肾功能检查,复查血电解质。(0.5分)
五、治疗原则(6分)
1.禁食、留置胃管持续胃肠减压。(2分)
2.维持水容量和水、电解质平衡,适当补钾。(2分)
3.保守治疗无效则手术治疗。(1分)
4.酌情抗感染治疗。(1分)
推荐阅读:
2021临床医师实践技能考试方案/考试流程/常见问题及注意事项视频讲解!
以上是”2021临床助理医师实践技能病例分析:急性肠梗阻“的内容,希望对考生备考有所帮助,预祝考生顺利通过2021年临床助理医师考试。

- · 医学教育网临床助理医师考试:《答疑周刊》2024年第6期
- · 今日挑战!2024临床助理医师技能考生速度参与实战模拟
- · 干货!2024临床助理医师实践技能<消化系统>病例分析公式
- · 速记!2024临床助理医师实践技能病例分析公式-呼吸系统
- · 2024临床助理医师技能考生速来挑战病例分析-病历摘要得分模拟练习
- · 2024临床助理医师实践技能考试命题考点总结-消化性溃疡
- · 今日技能考点速记:2023临床助理医师实践技能拿分考点-消化性溃疡
- · 【正确率83.56%】2023临床助理医师模考测试:需要急性胆道减压的疾病是?
- · 【正确率43.65%】左侧结肠癌合并急性肠梗阻时,最合理的手术方法应是?
- · 【精】2023临床助理医师考试《消化系统》考纲拿分考点精讲:阑尾炎














扫一扫立即下载


