“头部MRI案例分析”相信是备考脑电图学专业水平考试的朋友关注的事情,为此,医学教育网小编整理以下内容,希望可以帮助您!
小林,男,16岁,1个月前无明显诱因出现头晕、头痛,头痛以枕部最为明显,有种晕沉感。到当地医院就诊,头部CT及MR提示:右侧小脑囊结节性肿块,医生建议到上级医院继续治疗。7天前,小林出现呕吐的症状,为求进一步治疗,家属带其来到省脑科医院。
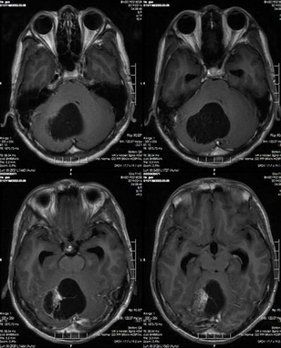
入院后,神经外科医生为小林完善相关检查,头部MRI提示:1.右侧小脑半球占位性病变,考虑偏低级别肿瘤性病变,毛细胞型星形细胞瘤可能;2.幕上梗阻性脑积水并脑室旁间质水肿;3.小脑扁桃体下疝。

术前MR示:1.右侧小脑半球占位性病变,考虑偏低级别肿瘤性病变;2.幕上梗阻性脑积水并脑室旁间质水肿;3.小脑扁桃体下疝。
经科室讨论,医生考虑右侧小脑肿瘤性病变,病变体积大,占位效应明显,且没有手术禁忌症。完善了术前准备后,在全麻下为其实施右侧小脑占位性病变切除术,手术过程顺利,病变被完整切除。术后,小林恢复情况良好,头痛、呕吐症状比之前明显好转。病理证实为:考虑为毛黏液性星形细胞瘤。

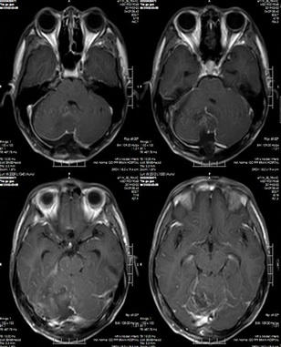
术后MR示:1.右侧小脑半球毛粘液性星形细胞瘤切除术后改变,原右侧小脑半球病变已切除;2.四脑室受压较前缓解,幕上脑室系统扩张较前缓解,脑室旁间质水肿范围较前缩小。
专家点评:毛粘液性星形细胞瘤是发生于神经系统的,粘液样结构的毛细胞星形细胞来源肿瘤,生物学特征具有侵袭性,相比于一般毛细胞星形细胞瘤易复发,多见于儿童、青少年,男性多见,多发生于下丘脑/视交叉,也可见于小脑、侧脑室、第三脑室、基底节等部位,症状取决于肿瘤生长部位及大小,多为占位效应引起的相关症状。手术切除是本病的主要治疗手段,手术切除肿瘤可以减轻患者症状,同时可明确肿瘤病理,可显著延长患者的生存期,提高患者生活质量。
以上是医学教育网小编整理的“头部MRI案例分析”全部内容,想了解更多脑电图学专业水平考试知识及内容,请点击医学教育网。