
郝万山教授,北京中医药大学国医堂主任医师、教授,首都国医名师,博士研究生导师。深耕中医医教研领域数十载,获评北京中医药大学优秀主讲教师、北京市教育创新标兵,担任国家中医药管理局全国优秀中医临床人才培养专家委员会优秀指导教师。
作为国家中医药管理局中医经典著作全国示范教学《伤寒论》主讲人,及中央电视台《百家讲坛》等知名节目的主讲嘉宾,其授课风格深入浅出、理论结合实践。临床擅长诊治呼吸系统、消化系统、心血管系统难治病症及精神抑郁症等,著有《郝万山伤寒论讲稿》等 14 部学术著作。
医案
李某,男,32岁,2016年5月14日初诊。低热,口苦,腹胀,尿少,乏力,面色苍黄晦暗,憔悴神疲,3~5日大便一次,排便困难,舌质黯,苔白厚腻,脉弦滑大。
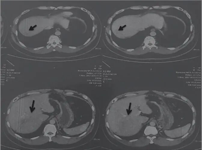
乙肝病史10年,2016年5月7日查AFP 989.8ng/mL,肝右叶巨大占位性病变(图1),考虑肝癌,大小约15cm×13.2cm,没有进行放疗、化疗和介入疗法。治法:舒少阳,散结聚,健脾胃,清湿热,宁心神
图1 舒达少阳防治肿瘤验案初诊CT结果
处方
处方:柴胡、香橼、佛手、茵陈、白花蛇舌草、半枝莲、蒲公英、枳壳、茯苓、莪术、炒白术、生白术、党参、远志、菖蒲、生甘草。14剂,效可再服。
1年后患者复诊,自言服用此方近半年,自觉诸多症状逐渐消失。现尚有腹部易发凉、大便偏软,脉弦滑,舌红苔薄白。治法:舒少阳,健脾胃,化湿浊,散结聚,宁心神。
处方:柴胡、香橼、茵陈、陈皮、半夏、茯苓、炮姜炭、炒白术、莪术、党参、远志、石菖蒲、炙甘草,14剂。2017年7月29日,三诊:肝功能正常,时有腹胀,脉弦滑,舌淡红,苔薄白。治法:舒少阳,散结聚,和脾胃,宁心神。
2017年7月29日,三诊:肝功能正常,时有腹胀,脉弦滑,舌淡红,苔薄白。治法:舒少阳,散结聚,和脾胃,宁心神。
2017年11月1日,AFP 1027ng/mL查说明肿瘤并没有消失,但是病变部位有所减小(图2)。
图2 舒达少阳防治肿瘤验案2017年11月1日CT结果
2017年11月18日,患者自述喝酒、熬夜,导致转氨酶轻度升高。嘱患者仍用原方服用3月余。2018年3月30日,检查示肝占位病变,考虑肝癌。肿瘤大小为53.4mm×41.8mm(图3)。
图3 舒达少阳防治肿瘤验案2018年3月30日CT结果
治疗回顾
治疗回顾:男性,32岁,乙肝病史10年,2016年5月7日,检查示肝右叶巨大占位性病变,15cm×13.2cm;经用舒少阳、散结聚、健脾胃、宁心神的方法治疗,2018年3月30日复查示肝顶部积水,肝右后叶可见不规则肿块,边缘模糊,最大5.34cm×4.18cm,纯中药治疗后肿块体积减小,带瘤生存,生活质量好。
2019年4月3日上午复诊:无任何不适,只是希望巩固疗效。方用柴胡、茵陈、蒲公英、三棱、莪术、炒白术、陈皮、茯苓、党参、远志、石菖蒲、炙甘草。间断服用至今,正常生活工作。
此法对肿瘤术后、放化疗后等遗留问题的调治,也有较好效果。
过去我用此方治疗过3例肝癌晚期的患者。此3例患者年龄大,不适合放化疗。3例患者生存期均超过1年,其中一人存活18个月,而且在他们的病程中,没有遭受过剧烈疼痛的折磨。对于肝癌,除了用柴桂温胆定志汤作为基础方畅三焦、助少阳外,还应根据具体情况进行加减。清热解毒祛湿选白花蛇舌草、半枝莲、蒲公英、栀子、茵陈;散结聚选三棱、莪术,配用白术,是为了防止三棱、莪术破气,也可以选夏枯草、浙贝母;宁心神配合炒枣仁、合欢皮;降转氨酶配五味子;消腹水配五苓散或猪苓汤。这样随症加减,可以提高患者的生存质量,适当延长患者的存活时间。
经方临床高阶研修班
声明
文中涉及所有方剂药物及治法为学习参考之用,非专业人士请勿试药,如有不适请线下就医!