关于“大量气胸VS中央型肺癌——临床助理医师技能胸片模拟试题”相关内容,相信参加医师实践技能考试的考生都在关注,为方便大家了解,在此医学教育网小编为大家整理如下:
| 疾病 | 大量气胸 | 中央型肺癌 |
| 鉴别点 | 无肺纹理 | 存在肺纹理 |
| 疾病 | 浸润性肺结核 | 大叶性肺炎 |
| 鉴别点 | 云絮状、密度不均匀,可有结节影或双肺同时发病 | 致密、均匀、大片影、常单侧发病 |
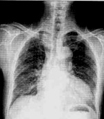
| 病史:男性,65岁,活动后胸闷6个月。既往高血压病史15年。诊断: |
| ○ 靴型心 | |
| ○ 梨形心 | |
| ○ 普大型心脏 | |
| ○ 正常心脏 | |
| ○ 以上均不是 |
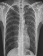
| 病史:男性,65岁,突感胸闷气促1小时。诊断: |
| ○ 右侧气胸 | |
| ○ 右侧大叶性肺炎 | |
| ○ 右侧胸腔积液 | |
| ○ 肺结核 | |
| ○ 右侧肺癌 |
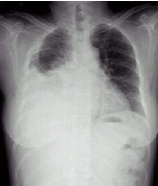
| 病史:女性,76岁,胸闷伴呼吸困难6天,不能平卧1天。诊断: |
| ○右侧胸腔积液 | |
| ○右下肺不张 | |
| ○右下胸膜肥厚 | |
| ○大叶肺炎 | |
| ○气胸 |
推荐阅读:
4月刷题打卡——2021年临床助理医师考试医考爱打卡第三阶段刷题开启!
【面授公开课】专业师资汤以恒全国21个地区临床医师免费面授公开课4月开启!
“大量气胸VS中央型肺癌——临床助理医师技能胸片模拟试题”的内容,由医学教育网编辑整理搜集,更多考试信息敬请关注医学教育网。

相关资讯

















扫一扫立即下载


