医学教育网编辑为大家整理总结了临床执业医师实践技能第三站考点-肺部疾病诊断(图)的内容,希望可以帮助到大家:
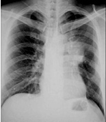
![]() | 病史:女性,39岁,胸痛伴高热、咳嗽4天。诊断: |
| ○右肺结核 | |
| ○右上肺癌 | |
| ○ 右侧肺炎 | |
| ○正常胸片 | |
| ○气胸 |
![]() | 病史:男性,24岁,咳嗽无痰伴低热半月。诊断: |
| ○左上肺炎 | |
| ○左上支气管扩张 | |
| ○左上浸润性肺结核 | |
| ○正常胸片 | |
| ○左侧胸腔积液 |
![]() | 病史:男性,65岁,咳嗽痰中带血3个月。诊断: |
| ○ 右下肺炎 | |
| ○ 右下包裹性积液 | |
| ○正常胸片 | |
| ○ 右下肺结核 | |
| ○ 右肺癌 |
![]() | 病史:男性,58岁,咳嗽痰中带血3个月。诊断: |
| ○ 左肺中心型肺癌 | |
| ○ 左肺周围型肺癌 | |
| ○ 左肺肺结核 | |
| ○ 左肺肺不张 | |
| ○ 左侧胸腔积液 |
编辑推荐:
【复习指导】2020年临床执业医师复习总攻略(附大纲教材)
【报名攻略】2020年临床执业医师网上报名∣现场审核攻略
【0元视频】2020年临床执业医师0元精选视频课程 限时领取
【考试变化】2020临床执业医师实行机考,考生将有这些变化
以上关于“临床执业医师实践技能第三站考点-肺部疾病诊断(图)”的问题由医学教育网编辑整理搜集,希望可以帮助到大家,更多的文章随时关注医学教育网临床执业医师实践技能辅导精华栏目!
〖医学教育网版权所有,转载必究〗

学员讨论(0)
相关资讯
- · 2023年临床执业医师技能病史采集试题练习——头痛的书写模板
- · 常见传染病-艾滋病考点练习题——临床执业医师考试题库
- · 全国2022年临床执业医师实践技能病例分析答题模板、答题公式
- · 简易呼吸机【基本操作】历年模考——临床执业医师实践技能
- · 2022年临床执业医师实践技能考试新三站评分标准/得分技巧
- · 2022年临床执业医师实践技能“慢性阻塞性肺”疾病诊断公式
- · 2022年临床执业医师实践技能“支气管哮喘”诊断公式
- · 2022年临床执业医师实践技能——肺炎病例分析诊断公式
- · 2021年临床执业医师医学综合笔试复习冲刺刷题——儿科疾病20题
- · 2021年临床执业医师考试复习必做模模拟试题——病理学练习题30题


















扫一扫立即下载


