2023年临床执业医师实践技能考试时间越来越近,复习时间越来越紧张,有句话说得好,学得多不如学得好,学得好更要考得好,为了帮助广大考生高效备考,医学教育网编辑整理了“临床执业医师技能4号考试卷第一站影像诊断(X线-消化道穿孔)练习题”具体内容如下,点击立即参与完整版试卷作答>>
查看汇总:2023年临床执业医师实践技能考试系统实战模考第4套卷
实践技能是考取医师资格证的首要环节,本系统为考生免费提供各考站模拟考题、各站分值,帮助考生夯实基础知识,熟悉技能考试,增强答题能力。下面是4号考试卷考题。
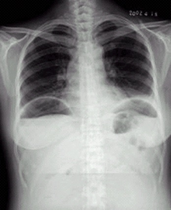
04卷-4.病史:女性,42岁,腹痛1天,进行性加重。诊断
(本题满分2.00分)

A.肠梗阻
B.肠结核
C.正常腹平片
D.消化道穿孔
题目解析:【该题针对“ X线-消化道穿孔 ”知识点进行考核】
【本文为正保医学教育网原创整理,转载请注明来源正保医学教育网。】
↑点击上图,进入实践技能模考系统做题↑
温馨提示:本次免费医师实践技能模考题共计5套,每套内含医师实践技能全部站点考题。可帮助大家熟悉技能各站次考试题型及分值占比。
友情提示:
凡购买课程含技能特色班,可解锁实践技能题库,立即购课做题吧!
如您已购买技能特色班、技能集训营、无忧实验班、高效定制班、VIP签约特训营、面授旗舰班、面授旗舰直播班,可直接进入我的网校我的家进行做题。
↑点击查看大图↑
2023年临床执业医师实践技能考试考核内容较多,需要考生多多练习,首次参加技能考试的考生不妨来看看小编为大家整理的2023年医师免费实践技能题库系统中的模拟题,提高备考效率,感兴趣的考生们快来学习吧!

















扫一扫立即下载


