4月的春天已经有了夏天的味道,你感受到技能考试的紧张时期了吗?为了帮助广大临床执业医师考生顺利备考实践技能考试,医学教育网老师特为大家总结了技能操作评分标准和必看的考试变化,希望对广大临床执业医师考生复习备考有所帮助!

临床执业医师技能各站评分标准
病史采集评分标准:
简要病史:女性,45岁。车祸后神志不清3小时急诊就诊。
要求:作为住院医师,请围绕以上简要病史,将应该询问的患者现病史及相关病史的内容写在答题纸上。时间:11分钟。评分标准(总分15分)。
(一)现病史(10分)
1.根据主诉及相关鉴别询问(7分)
(1)受伤情况:受伤过程、具体部位和程度(1分)。
(2)意识障碍(神志不清):发生的时间、程度、持续时间及其演变过程(2分)。
(3)有无呼吸、脉搏、血压变化(2分)。
(4)伴随症状:有无呕吐(是否喷射性)、四肢抽搐、外耳道和鼻孔流血(或液),有无肢体活动障
碍(2分)。
部位、性质、程度(次数、缓急)、时间规律,影响因素。
2.诊疗经过(2分)
(1)是否曾到医院就诊,做过哪些检查。(1分)
(2)治疗情况。(1分)
3.一般情况
近期饮食、睡眠、大小便及体重变化情况。(1分)
(二)其他相关病史(3分)
1.有无药物过敏史。(0.5分)
2.与该病有关的其他病史:有无癫痫、高血压及心脏病病史,有无精神神经系统疾病家族史(2.5分)
二、问诊技巧(2分)
病例分析评分标准
病历摘要:男性,59岁。反复头晕、头痛4年,加重2天。
患者于4年前劳累后出现头晕、头痛,多次测血压140~160/90~110mmHg,无视物旋转、耳鸣,无颜面水肿、多尿、乏力,无体重增加,诊断为“高血压”,给予口服“降压药”治疗(具体不详),血压控制在130~140/80~90mmHg,能胜任日常工作。近2天因加班劳累,夜间睡眠差,感头痛加剧伴胸闷来院急诊。吸烟15年,10~20支/日,无饮酒。母亲患有高血压。
查体:T36.9℃,P88次/分,R18次/分,BP210/120mmHg.神志清楚。浅表淋巴结未触及肿大。口唇无发绀。双肺叩诊呈清音,双肺呼吸音清晰,未闻及干湿性啰音。心尖搏动位于第5肋间左锁骨中线内侧1.0cm,心率88次/分,律齐,各瓣膜听诊区未闻及杂音。腹平软,无压痛,肝脾肋下未触及,双下肢无水肿。
要求:根据以上病历摘要,请将初步诊断、诊断依据(如有两个及以上诊断,应分别列出各自诊断依据,未分别列出者扣分)、鉴别诊断、进一步检查与治疗原则写在答题纸上。
考试时间:15分钟
评分标准:总分22分
一、初步诊断:4分
高血压3级很高危(仅答“高血压”得2分)3分
高血压亚急症1分
二、诊断依据(初步诊断错误,诊断依据不得分)5分
1.慢性病程,急性加重。0.5分
2.有高血压史。1分
3.高血压分级:最高血压在210/120mmHg.1分
4.危险分层:男性年龄>55岁,有高血压家族史、长期吸烟。1分
5.高血压亚急症:有劳累,睡眠差的诱因,头痛症状加重表现。血压在210/120mmHg,无急性靶器官损害表现。1.5分
三、鉴别诊断3分
1.高血压急症1分
2.继发性高血压1分
3.脑血管病1分
四、进一步检查5分
1.血脂、血电解质,肝、肾功能检查。0.5分
2.头颅CT.1分
3.胸部X线片检查。1分
4.超声心动图,颈动脉超声检查。1分
5.尿常规,血、尿醛固酮,血、尿皮质醇检查。1分
6.肾及肾上腺B超。0.5分
五、治疗原则5分
1.非药物治疗:减少钠盐和脂肪摄入、戒烟。1分
2.高血压亚急症治疗:
(1)可选用快速起效的口服降压药。1.5分
(2)应在24~48小时内降低血压。1分
心电图
试题1:男,40岁。突发心悸伴胸闷2小时。最可能的心电图诊断是(4分)
A.阵发性室上性心动过速
B.左心室肥厚
C.急性心肌梗死
D.心房颤动
E.窦性心动过速
答案:A
试题2:男,26岁。在参加马拉松比赛,突然意识丧失5分钟。最可能的心电图诊断是(4分)
A.窦性心动过缓
B.室性期前收缩
C.心房颤动
D.心室颤动
E.窦性心动过速
答案:D
影像学
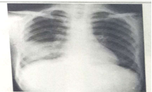
试题1:男性,26岁,受凉后寒颤高热,咳嗽,咳铁锈色痰5天(2分)
A.肺癌
B.气胸
C.正常胸片
D.肺炎
E.胸腔积液
答案:D
试题2:男,44岁。头部外伤12小时。结合CT片,此诊断为(2分)
A.硬膜下血肿
B.脑出血
C.硬膜外血肿
D.颅骨骨折
E.脑血栓
答案:C
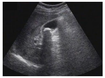
试题3:患者女性,50岁,间断上腹隐痛半年,诊断为(2分)
A.肝癌
B.肝硬化
C.胆囊结石
D.肾结石
E.急性胆囊炎
【答案】C
心肺听诊
试题1:请指出圆圈所画部位为何瓣膜听诊区(3分)
A.肺动脉瓣区
B.主动脉瓣区
C.主动脉瓣第二听诊区
D.二尖瓣区
E.三尖瓣区
答案:D
试题2:请指出圆圈所画部位为何听诊区(4分)
A.肺动脉瓣区
B.二尖瓣区
C.三尖瓣区
D.主动脉瓣第二听诊区
E.主动脉瓣区
答案:A
体格检查评分标准
**号练习题:请你对被检查者进行下列体格检查并回答问题。
体格检查考试项目:1.胸壁视诊检查(须口述检查内容);2.肝脏触诊(单手触诊)(须报告检查结果);3.脊柱检查(须口述检查内容)
考试时间:13分钟
评分标准(总分20分)
一、胸壁视诊检查(须口述检查内容)(2分)
(一)考生站位正确,告知被检查者体位正确(0.5分)
告知被检查者取坐位或仰卧位,充分暴露胸部,考生位于被检查者前面或右侧。
(二)检查内容正确(15分)
观察胸壁有无皮疹、疤痕、蜘蛛痣(1分),胸壁静脉有无充盈、曲张(0.5分)。
二、肝胜触诊(单手触诊)(须报告检查结果)(6分)
(一)考生站位正确,告知被检查者体位、姿势正确(0.5分)
告知被检查者取仰卧位,双腿屈曲,暴露腹部,腹部放松,做腹式呼吸,考生位于被检查者右侧。
(二)检查方法正确(5分)
考生将右手三指并拢。掌指关节伸直,示指和中指末端与肋缘平行,放置于被检查者脐右侧,用示指、中指末端桡侧进行触诊(1分)。嘱做腹式呼吸:当被检者呼气时,手指压向腹深部(1分,吸气时),手指向前上迎触下移的肝下缘(1分)。如此反复进行,并逐渐向肋缘方向滑动,直至触及肝下缘或右肋缘(2分)。
(三)检查结果正确(0.5分)
报告概查线果:肝脏肋下是否触及。
三、脊柱检查(须口述检查内容)(8分)
(一)考生站位正确,告知被检查者体位正确(1分)
告知被检者取坐位或站立位,充分暴露躯干,考生位于告知被检查者后面。
(二)检查内容和方法正确(7分)
1.脊柱弯曲度视诊检查(1分)
观察记住生理弯曲是否存在(0.5分):有脊柱侧弯、病理性前凸和后凸畸形(0.5分)。
2、脊柱活动度检查(4分)
(1)颈椎活动度检查(2分)
考生双手固定被检查者双肩(0.5分,嘱被检者作颈部前屈、后伸、左右侧屈(1分),左右旋转运动(0.5分),观察被检者颈椎活动度。
(2)腰椎活动度检查(2分)
考生双手固定被检者骨盆(0.5分),嘱被检者作腰部前屈、后屈、左右侧屈(1分)。左右旅转运动(0.5分),观察被检者腰椎活动度。
3.脊柱压猪和叩击痛检查(2分)
(1)脊柱压痛检查(1分)
考生用拇指或示指指腹自上而下依次按压颈椎、胸椎,腰骶椎棘突和椎旁肌肉,发现痛点时须重复检查确认。
(2)脊柱叩击痛检查(1分)
直接叩击法:检查者以叩诊锤或单个一指端依次轻叩各个脊椎棘突;
间接叩击法:检查者将左手掌置于被检者头部,右手半握拳以小鱼际肌部位叩击左手掌,了解被检者脊柱各部位有无疼痛。
四、提问(2分)
(一)脉搏触诊检查主要检查哪些内容(1分)?
答:主要检查脉率、节律、强弱和脉波。
(二)左侧大量胸腔积液患者在胸部视诊检查时,可发现哪些异常体征(1分)
答:呼吸浅快,左侧呼吸运动减弱,左侧胸廓饱满。
五、职业素质(2分)
(一)体检前能向被检者告知。与被检者沟通时态度和露,体检中动作轻柔,能体现爱护被检者的意识。体检结束后能告知,有体现关爱被检者的动作(1分)。
(二)着装(工作服)整洁,仪表举止大方,语言文明,体检认真细致,表现出良好职业素养。
职业素质(1分)。)
基本操作评分标准
**号练习题:患者,男性,59岁。因阑尾炎行阑尾切除术,现平卧于手术台上,你已完成手臂消毒。
要求:请用碘伏给患者(医学模拟人)进行皮肤消毒,并铺无菌巾。
评分标准(总分20分)
1.皮肤消毒过程(9分)
(1)戴帽子、口罩(头发、鼻孔不外露)。(1分)
(2)考生一手端盛有碘伏棉球/纱布块的换药碗,另一手持卵圆钳,站立于患者右侧。(2分)
(3)给皮肤消毒过程中,保持卵圆钳头端始终低于握持端。(2分)
(4)以右下腹麦氏切口为中心,由内向外,自上而下消毒皮肤2~3遍。(2分)
(5)消毒中每一次涂擦之间不留空白区。(1分)
(6)每一遍消毒均不超过前一遍范围。(1分)
2.腹部手术皮肤消毒范围(3分)
(1)上自剑突水平或乳头连线水平。(1分)
(2)下至大腿上、中1/3交界处。(1分)
(3)两侧达腋中线。(1分)
3.铺巾操作过程(4分)
(1)用四块无菌巾,内折少许,铺盖在拟定切口四周,反折部靠近切口。铺巾后手术野皮肤暴露不要过于宽大。(1分)
(2)先铺考生对侧或患者会阴侧无菌巾,最后铺靠近考生侧的无菌巾。用四把巾钳固定。(1分)
(3)铺中单(考官协助):在拟定切口上下方各铺一块中单。(1分)
(4)铺大单(考官协助):铺大单时先将洞口对准拟定切口,然后将大单头端盖过麻醉架,两侧和足端下垂超过手术台边30cm。(1分)
4.常见考官提问(2分,以下问题任选2个)
(1)阑尾切除后,换药时最主要的观察内容是什么?(1分)
答:切口有无红肿、压痛和渗出物等切口感染的表现。
(2)感染切口与清洁切口的皮肤消毒方法有何不同?(1分)
答:感染切口皮肤消毒的方向是从外向内,清洁切口的皮肤消毒方向是从内向外。
(3)各部位手术的消毒范围如何?(1分)
答:①头部手术皮肤消毒范围:头及前额。
②口、唇部手术皮肤消毒范围:面唇、颈及上胸部。
③颈部手术皮肤消毒范围:上至下唇,下至乳头,两侧至斜方肌前缘。(甲状腺手术)。
④锁骨部手术皮肤消毒范围:上至颈部上缘,下至上臂上、中1/3交界处和乳头上缘,两侧过腋中线。
⑤胸部手术皮肤消毒范围:(侧卧位)前后过中线,上至锁骨及上臂1/3处,下过肋缘。
⑥乳腺根治手术皮肤消毒范围:前至对侧锁骨中线,后至腋后线,上过锁骨及上臂,下过肚脐平行线。如大腿取皮,则大腿过膝,周圈消毒。
⑦上腹部手术皮肤消毒范围:上至乳头、下至耻骨联合,两侧至腋中线。(胃大切手术)。
⑧下腹部手术皮肤消毒范围:上至剑突、下至大腿上、中1/3交界处,两侧至腋中线。(阑尾炎手术)。
⑨腹股沟及阴囊部手术皮肤消毒范围:上至肚脐线,下至大腿上、中1/3交界处,两侧至腋中线。
(4)消毒会阴、黏膜、小儿消毒使用何种消毒液?(1分)
答:可用0.1%洗必泰。
(5)铺无菌巾、单的注意事项有哪些?(1分)
答:①铺巾、单顺序:先铺无菌巾,再铺无菌单。
②铺巾顺序:先铺铺巾者对侧,再铺会阴侧,再铺头侧,最后铺铺巾者一侧。
③无菌手术切口周围至少盖有四层无菌巾、单。
(6)简述大单巾的覆盖范围?(1分)
答:大单巾头端应盖过麻醉架,两侧和足端都应垂下超过手术台边30cm。
5.职业素质(2分)
(1)消毒过程中,无菌观念强,动作要轻柔规范,体现爱护患者的意识。(1分)
(2)着装(手术衣)整洁,仪表端庄,举止大方,语言文明。(1分)
临床执业医师实践技能政策变化
1、考试地点:之前实践技能考试采取就近安排的原则,可能在自己熟悉的医院考试,有可能碰到的考官是熟人,而在基地考试后,是国家统一的规范和要求,基地可能是在别的市,考试的地点不是自己熟悉的城市,标准化病人技术、考试内容、考试设计更规范,总的来说就是很严格、很规范!
2、考试形式:将之前的第一站(病史采集和病例分析)纸笔发卷改为在电脑抽题,每半天一投放,每次投放不同试题,评分标准延后半天开放,考官延后阅卷评分,确保第一站零曝光。也就是不会提前有泄露试题的情况存在,碰到还原考点练习题的几率也大大降低。
3、考试内容:取消了考官提问,技能基地考试新增了摄像头,全程监控考生及考官的情况,之前如果你的操作有问题,考官可能会适当的提醒,在基地考试后,全靠自己!
4、考试教材:以下知识点有变化
临床执业医师技能得分技巧
一、攻克临床思维能力
1.心肺听诊:记住瓣膜听诊区和典型音(随身听+技巧)
2.影像诊断:一看病史,二看图像,三记口诀(参考病史+疾病特殊影像学表现+口诀记忆)
3.心电图:记住各心电图典型特点来判断(口诀记忆)
4.医德医风:情景录像片断和题干判断句(往最好的方向想)
病史采集部分考查症状较少,不容易混淆,内容比较固定,容易掌握出题规律和答题规律,所以对于每位考生而言,这部分分值是可以轻松拿到的分数。
二、攻克体格检查
1.因为2021年实践技能考试评分是按照步骤给分,所以学习过程中需要熟练掌握每一项操作步骤,根据易错提示,把每一步做出来。不要只看视频,自己不操作,到了考场上有可能会因为紧张,大脑一片空白。
2.第二站的考核目标是加大对检查者动手能力和临床实践能力,所以在大多数的考区是需要说做结合的,故一定要动手练习。
3.在做体格检查的时候一定注意需要一边做一边说。并且检查过程中要体现爱伤意识,这样可以提升印象分。
4.考试见到考官必要的礼节还是要有的,一定要说:“考官您好,我是几号考生,请您多指教。”考试结束:“报告考官,检查结果×××,属于正常或者异常,操作完毕。”
三、攻克基本操作
1.基本操作最核心的是无菌观念,所以我们操作过程一定要注意无菌要求。
2.基本操作另外一个常见问题就是各种操作顺序容易出错,这就要求我们平时勤加练习并且思路要清晰。
注意:VIP签约特训营、高效定制班、无忧实验班均赠送技能特色班的课程!
编辑推荐:
踏青小长假来袭!临床执业医师运动系统科目50+经典习题快学习!
4月你好,成长是你!临床执业医师考生查收30天备考知识+试题!
以上关于“2021年临床执业医师考试技能操作评分标准+必看考试变化!”的文章由医学教育网编辑整理搜集,更多的文章随时关注医学教育网临床执业医师技能考试经验栏目!
〖医学教育网整所有,转载务必注明出处,违者将追究法律责任〗

- · 【考情解读】2025年临床医师实践技能考情深度解读
- · 技能得分模拟练习-2024临床助理医师实践技能第三站基本操作技能
- · 动、静脉穿刺术搞不定?速记2024临床执业医师实践技能实操口述要领!
- · 实操今日练习!速记2024临床执业医师技能实操口述要领-导尿术
- · 今日实操练习:2024临床执业医师技能实操口述要领-换药与拆线
- · 每日速记2024临床执业医师技能实操口述要领-清创术
- · 国家医学考试网针对2024临床执业医师新版考试大纲问题答疑
- · 正确率仅24.48%!对该产妇的处理,错误的是?
- · 临床执业医师技能4号考试卷考题脓肿切开术模拟题
- · 临床医师技能第三站基本操作(医学模拟人)行清创术
























扫一扫立即下载


