关于“2022年临床执业医师实践技能X线平片影像诊断公式:8个胸片图”的内容,相信很多考生都很关注,医学教育网编辑为大家整理总结了具体的知识点,详情如下:
解题:箭头所指部分漆黑一片,根据公式得出气胸

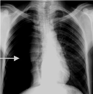
解题:片中可见肋膈角消失,根据公式得出胸腔积液

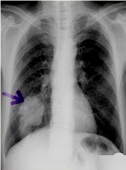
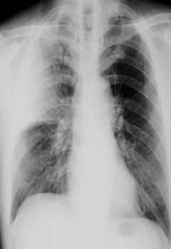
图中可见肺门不规则肿块,根据公式诊断中央型肺癌

图中可见右下肺分叶状肿块,根据公式诊断周围型肺癌

满肺可见“满天星”,根据公式诊断肺转移瘤

斑片状阴影位于双肺尖,根据公式诊断浸润性肺结核

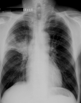
图中可见右上叶“一片白”,根据公式诊断为右上叶大叶性肺炎

图中可见右上叶“斑点花”,根据公式诊断为小叶性肺炎

编辑推荐:
考前总结!2022年临床执业医师考试实践技能-病例分析诊断公式大汇总
2022年临床执业医师实践技能考试在国家基地怎么考?注意什么?
2022年临床执业医师实践技能考试第一站心电图诊断考点速记汇总
紧急收藏!全国2022年临床执业医师实践技能考试63个胸片图!
以上关于“2022年临床执业医师实践技能X线平片影像诊断公式:8个胸片图”的文章由医学教育网编辑整理搜集,更多的文章随时关注医学教育网临床执业医师实践技能辅导精华栏目!
〖医学教育网版权所有,转载务必注明出处,违者将追究法律责任〗

学员讨论(0)
相关资讯
- · 【课表】2025年临床执业|助理医师《金题点睛班》直播安排
- · 2025年临床执业医师考试高分技巧如何实践?
- · 【秘籍】2025临床技能病例分析诊断公式,背过就能拿分!
- · 营养和营养障碍疾病的维生素D缺乏性手足搐搦症【临床执业医师核心考点】
- · 【临床执业医师核心考点】营养和营养障碍疾病的维生素D缺乏性佝偻病
- · 今日公式速记:2024临床执业医师技能病例分析考点-运动系统
- · 代谢、内分泌系统-2024临床执业医师实践技能病例分析公式小结
- · 速记公式!2024临床执业医师实践技能病例分析小结-精神、神经系统
- · 【拿分秘籍】2024临床执业医师实践技能《病史采集|病例分析万能模板》免费领!
- · 2023年临床执业医师传染病、性传播疾病科目重点梳理及复习攻略














扫一扫立即下载


