医学教育网:美国纽交所上市公司,十大品牌教育机构!

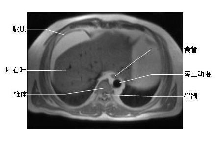
胸部横断面-MRI图片

2014-04-11 11:27

胸部横断面- MRI图

胸部横断面- MRI图

转发分享:
分享到:
特别推荐
七大功能介绍
本在线模考系统已有${allSum}人参与做题。
  • 仿真试题仿真试题
    为考生提供大量仿真试题,题型全面,覆盖各类考点,贴近考试,帮助考生提升应考能力!
  • 试题解析试题解析
    网校为学员提供每道习题的答案及解析,让学员了解自己的薄弱点,全方位提升学习效果。
  • 错题记录错题记录
    对于模拟试卷中做错的题目,学员可有针对性地再次选做,巩固薄弱知识点。
  • 模考系统排行榜排行榜
    为考生提供试卷排行榜,学员可更详细地了解到复习的程度,并增强学员的做题趣味性。
  • 自动判分自动判分
    答题完毕后,客观题部分系统自动批阅并显示客观题得分,将您的答案与正确答案对比显示。
  • 试卷打印试卷打印
    网校推出的模拟考场,为学员提供在线打印功能,让考生能够随心所欲测试,快速提升学习效果。
  • 试卷打印网络辅导

      医学教育网执业药师考试辅导课程,针对每个考生的不同学习状况,进行有针对性地讲解、训练、答疑、模考,并对学习过程进行跟踪、分析、指导,从整体上大幅提升学员的考试通过率,详情>>