编辑推荐
免费资料
免费领取
网校内部资料包
考试辅导
直播课
关于“公卫执业医师实践技能试题解析:胸部X线片”,医学教育网编辑将整理的资料分享如下,希望对大家备考2019年公卫执业医师考试有所帮助。
一、正常胸片

二、肺部感染
肺部感染=咳嗽、咳痰(间质性肺炎无痰)+发热+白细胞增高,中性粒细胞比例增高
| 肺部感染类型 | 特点 |
| 小叶性肺炎(支气管肺炎) | 两肺中下野散在斑片影 |
| 大叶性肺炎 | 大片致密影 |
| 间质性肺 | 网状或小结节状影 |
| 传染性非典型肺炎 | 不同程度的片状、斑片状浸润性阴影或呈网状改变,进展迅速者呈大片状阴影 |

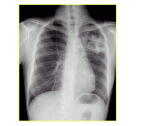
三、肺结核病
结核关键词:低热、盗汗、乏力、体重减轻
影像学关键词:肺尖、空洞、钙化、哑铃
| 肺结核类型 | 影像学表现 |
| 局限性斑片状模糊影 | 好发于上叶尖后段及下叶背段 |
| 干酪性肺炎 | 肺段或肺叶实变,呈大片致密影,边缘模糊,密度不均,急性空洞表现为“虫蚀样” |
| 结核性空洞 | 多数空洞壁较薄,洞壁内、外缘较光滑,空洞内一般无液平,空洞周围常有卫星灶 |
| 支气管播散病变 | 支气管分布的斑点状、斑片状阴影 |
| 血行播散病变 | 散在于两肺野、分布较均匀、密度和大小相似的粟粒状阴影;亚急性和慢性病变粟粒大小和密度不一 |
| 增殖性病变 | 斑点状高密度影,常排列成“花瓣”,边界清楚,无融合趋势 |
| 结核球 | 边缘清楚的类圆形阴影,密度较高,内常有钙化,周围可见卫星灶 |
| 原发性结核灶 | 哑铃状病灶 |

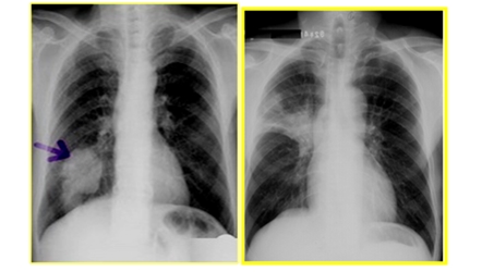
四、肺占位性病变

图中可见肺门不规则肿块,根据部位诊断中央型肺癌
图中可见右下肺分叶状肿块,根据部位诊断周围型肺癌
细支气管肺泡癌
①结节型表现为单个的圆形阴影。
②弥漫型表现为两肺弥漫分布的大小不等的结节
肺部良性与恶性肿瘤的鉴别
| 良性肿瘤 | 恶性肿瘤 | |
| 生长 | 缓慢 | 快 |
| 有无包膜 | 有 | 无 |
| 生长特点 | 对周围组织没有侵犯而表现为圆形、边界清楚光滑的肿块影 | 生长快、异常供血血管多,因血管进入处的阻挡导致肿块生长呈分叶状,因癌性淋巴结炎导致边界短毛刺状改变,肿瘤中心可发生缺血坏死 |
〖医学教育网版权所有,转载必究〗
编辑推荐:
“公卫执业医师实践技能试题解析:胸部X线片”的内容,由医学教育网编辑整理搜集,希望对正在备战公卫医师考试的人提供帮助,更多备考资料干货,敬请关注医学教育网公卫执业/助理医师实践技能栏目。