关于“大量气胸和中央型肺癌/浸润性肺结核和大叶性肺炎的鉴别要点”的内容,相信很多考生都很关注,医学教育网编辑为大家整理总结了具体的知识点,详情如下:
| 疾病 | 大量气胸 | 中央型肺癌 |
| 鉴别点 | 无肺纹理 | 存在肺纹理 |
| 疾病 | 浸润性肺结核 | 大叶性肺炎 |
| 鉴别点 | 云絮状、密度不均匀,可有结节影或双肺同时发病 | 致密、均匀、大片影、常单侧发病 |
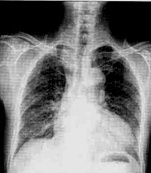
| 病史:男性,65岁,活动后胸闷6个月。既往高血压病史15年。诊断: |
| ○ 靴型心 | |
| ○ 梨形心 | |
| ○ 普大型心脏 | |
| ○ 正常心脏 | |
| ○ 以上均不是 |
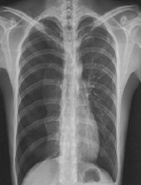
| 病史:男性,65岁,突感胸闷气促1小时。诊断: |
| ○ 右侧气胸 | |
| ○ 右侧大叶性肺炎 | |
| ○ 右侧胸腔积液 | |
| ○ 肺结核 | |
| ○ 右侧肺癌 |
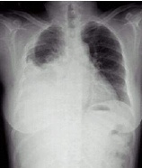
| 病史:女性,76岁,胸闷伴呼吸困难6天,不能平卧1天。诊断: |
| ○右侧胸腔积液 | |
| ○右下肺不张 | |
| ○右下胸膜肥厚 | |
| ○大叶肺炎 | |
| ○气胸 |
编辑推荐:
21年临床执业医师实践技能考生必收藏:13大系统100个疾病诊断公式
抢先看!2021年临床执业医师实践技能考试基地安排,提前知晓考试地点!
实战练习√临床执业医师实践技能病例分析历年考试还原考点练习题汇总25道&评分细则
妥了!因为它病史采集拿下满分,临床执业医师考生快查收经典习题汇总!
以上关于“大量气胸和中央型肺癌/浸润性肺结核和大叶性肺炎的鉴别要点”的文章由医学教育网编辑整理搜集,更多的文章随时关注医学教育网临床执业医师实践技能辅导精华栏目!
〖医学教育网版权所有,转载务必注明出处,违者将追究法律责任〗

学员讨论(0)
相关资讯
- · 全国2022年临床执业医师实践技能病例分析答题模板、答题公式
- · 体格检查:测血压,腋窝淋巴结触诊,语音震颤,肠鸣音听诊
- · 体格检查:腋窝淋巴结、语音震颤(触)、肠鸣音、量血压
- · 浮膑试验、肝胜触诊(单手触诊)、腋窝宾淋巴结检查、语音震颤
- · 体格检查:肺下界扣诊,气管触诊,腹壁静脉曲张,肌张力检查
- · 语音震颤、膀胱叩诊、手部及关节视诊、脑膜刺激征(体格检查模拟)
- · 浮滨试验/肝脏触诊/腋窝淋巴结/语音振颤——技能体格检查模拟题
- · 2022年临床执业医师实践技能考试新三站评分标准/得分技巧
- · 实践技能体格检查题——浮滨试验/肝脏触诊/腋窝淋巴结/语音振颤
- · 体格检查题:语音震颤、膀胱叩诊、手部及关节视诊、脑膜刺激征


















扫一扫立即下载


