关于“2021年临床执业医师实践技能模考试卷第一套——辅助检查第3题(影像诊断)”的内容,相信很多考生都在关注,医学教育网编辑为大家整理如下:
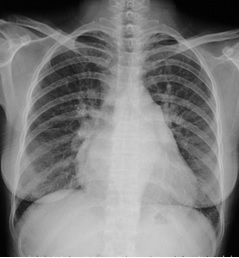
试题:根据下图请做出正确诊断
A.正常心脏
B.心肌病(普大心)
C.风湿性心脏病(梨型心)
D.主动脉型心(靴型心)
完整版的试题进入技能模考系统去做题
编辑推荐:
全国2021年临床执业技能方案发布 4大变化 考试会更难吗?
全国21年临床执业医师实践技能病例分析诊断公式+历年考试还原考点练习题
全国2021年临床执业医师考生必看,历年各知识点考试还原考点练习题精选(一)
2021年实践技能考试考官评分手册——第一站病史采集和病例分析26大试题汇总!
以上关于“2021年临床执业医师实践技能模考试卷第一套——辅助检查第3题(影像诊断)”的文章由医学教育网编辑整理搜集,更多的文章随时关注医学教育网!

学员讨论(0)
相关资讯
- · 2025年临床执业医师考试各单元复习重点是什么?
- · 2025年临床执业医师实践技能考试要点
- · 2025年临床执业医师实践技能考试模拟
- · 速记公式!2024临床执业医师实践技能病例分析小结-精神、神经系统
- · 2024临床执业医师实践技能得分模拟练习-影像诊断(图片题)
- · 2024临床执业医师技能命题考点真实模拟练习-影像鉴别
- · 【模拟练习】2024临床执业医师实践技能真实考试得分点模拟
- · 国家医学考试网针对2024临床执业医师新版考试大纲问题答疑
- · 快查收!因为它病史采集不再慌,2023年临床执业医师考生经典习题汇总!
- · 2023年临床执业医师技能病史采集试题练习——咳嗽/咳血/胸痛

















扫一扫立即下载


