关于“2021临床执业医师实践技能模考密卷第一套——辅助检查第4题(看胸片)”的内容,相信很多临床执业医师考生都在关注,医学教育网编辑为大家整理如下:
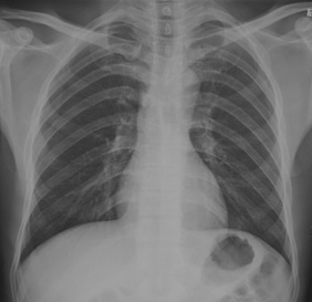
试题:根据下图请做出正确诊断
A.正常胸片
B.肺门淋巴结肿大
C.肺炎
D.主动脉型心(靴型心)
更多的试题点击进入技能模考系统练习
编辑推荐:
全国2021年临床执业技能方案发布 4大变化 考试会更难吗?
全国21年临床执业医师实践技能病例分析诊断公式+历年考试还原考点练习题
全国2021年临床执业医师考生必看,历年各知识点考试还原考点练习题精选(一)
2021年实践技能考试考官评分手册——第一站病史采集和病例分析26大试题汇总!
以上关于“2021临床执业医师实践技能模考密卷第一套——辅助检查第4题(看胸片)”的文章由医学教育网编辑整理搜集,更多的文章随时关注医学教育网临床执业医师辅导精华栏目!
【医学教育网原创,转载请注明出处,违者必究】

学员讨论(0)

















扫一扫立即下载


