关于“2021年临床执业医师实践技能第四套实战模考卷——第一站X线诊断”的内容,相信很多临床执业医师考生都在关注,医学教育网编辑为大家整理了具体的模拟试题及答案解析,详情如下:
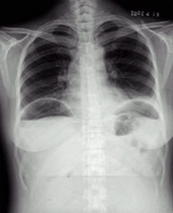
04卷-4.病史:女性,42岁,腹痛1天,进行性加重。诊断(本题满分2.00分)
A.肠梗阻
B.肠结核
C.正常腹平片
D.消化道穿孔
【隐藏答案】
本题答案:D
题目解析:【该题针对“X线-消化道穿孔”知识点进行考核】
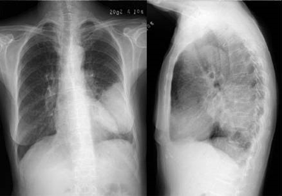
04卷-3.病史:男性,53岁,咳嗽、体重减轻4个月。诊断(本题满分2.00分)
A.左下肺炎
B.左下包裹性积液
C.左下肺癌
D.左下肺结核
【隐藏答案】
本题答案:C
题目解析:
【该题针对“X线-肺癌”知识点进行考核】
更多试题:
全国2021年临床执业医师实践技能考试实战模考卷第三套试题汇总
以上关于“2021年临床执业医师实践技能第四套实战模考卷——第一站X线诊断”的文章由医学教育网编辑整理搜集,更多的知识点随时关注医学教育网临床执业医师实践技能辅导精华栏目!
〖医学教育网版权所有,转载务必注明出处,违者将追究法律责任〗

学员讨论(0)
相关资讯
- · 今日挑战:2024临床执业医师实践技能实战模拟练习题
- · 2024临床执业医师技能冲刺每日得分点练习;病例分析-病历摘要
- · 2023年6月15日|临床执业医师资格考试每日一练做题啦!
- · 2023年6月9日|临床执业医师资格考试每日一练做题啦!
- · 2023年6月8日临床助理/执业医师笔试每日一练
- · 2023年临床执业医师技能病史采集试题练习——咳嗽/咳血/胸痛
- · 2023年临床执业医师技能病史采集试题练习——头痛的书写模板
- · 2023年5月16日|临床执业医师资格考试每日一练解析!
- · 2023年5月15日|临床执业医师资格考试每日一练做题啦!
- · 临床执业医师技能4号考试卷第一站影像诊断(X线-消化道穿孔)练习题
















扫一扫立即下载


