APP下载

扫一扫,立即下载

医学教育网APP下载

开发者:1

苹果版本:1

安卓版本:1

应用涉及权限:查看权限 >

APP:隐私政策:查看政策 >

微 信
医学教育网微信公号

官方微信Yishimed66

24小时客服电话:010-82311666
您的位置:医学教育网 > 基础医学理论 > 医学图库 > 医学影像学图谱 > X射线 > 正文

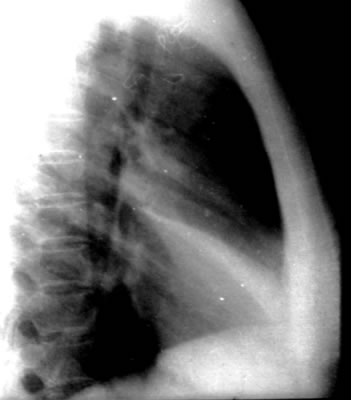
右中叶肺不张(图)

2010-01-06 16:13 医学教育网
|

热点推荐

——●●●聚焦热点●●●——
技能缴费>> 搞分秘籍>> 大纲教材>>

(侧位)右中叶肺不张

(侧位)右中叶肺不张

医师资格考试公众号

相关资讯
距离2025医师技能考试

编辑推荐
    • 免费试听
    • 免费直播
    汤以恒 临床执业医师 《消化系统》 免费试听
    免费资料
    医师资格考试 备考资料包
    历年考点
    应试指导
    仿真试卷
    思维导图
    立即领取
    回到顶部
    折叠