关于“2021年临床执业医师实践技能考试——X线平片影像诊断心脏增大诊断公式”的内容,相信很多2021年临床执业医师考生都很关心,医学教育网老师为大家整理总结如下:
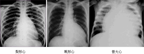
| X线 | 心界增大 | 常见疾病 | |
| 二尖瓣型 | 梨形心 | 左心房增大 | 二尖瓣狭窄(最常见) |
| 主动脉型 | 靴形心 | 左心室扩大 | 法洛四联征、主动脉瓣膜疾病、高血压心脏病等 |
| 普大型 | 普大心 | 心界向两侧扩大 | 心肌病、心脏病后期、心包积液等 |
可如何判断心脏的大小呢?
主要根据心胸比例
心胸比例=〔(A+B)/C〕<0.5
轻度增大=0.51~0.55
中度增大=0.56~0.60
重度增大>0.60


编辑推荐:
抢先看!2021年临床执业医师实践技能考试基地安排,提前知晓考试地点!
实战练习√临床执业医师实践技能病例分析历年考试还原考点练习题汇总25道&评分细则
妥了!因为它病史采集拿下满分,临床执业医师考生快查收经典习题汇总!
快参加!临床执业医师基础复习阶段模考大赛,精选1套卷600题!
以上关于“2021年临床执业医师实践技能考试——X线平片影像诊断心脏增大诊断公式”的文章由医学教育网编辑整理搜集,更多的文章随时关注医学教育网临床执业医师辅导精华栏目!
〖医学教育网版权所有,转载务必注明出处,违者将追究法律责任〗

学员讨论(0)















扫一扫立即下载


