全国2021年临床执业医师实践技能第一站多媒体考试还原考点练习题23道(图文)的内容,相信很多考生都在关注,医学教育网编辑为大家整理如下:
心电图
试题1:男,40岁。突发心悸伴胸闷2小时。最可能的心电图诊断是(4分)
A.阵发性室上性心动过速
B.左心室肥厚
C.急性心肌梗死
D.心房颤动
E.窦性心动过速
答案:A
试题2:男,26岁。在参加马拉松比赛,突然意识丧失5分钟。最可能的心电图诊断是(4分)
A.窦性心动过缓
B.室性期前收缩
C.心房颤动
D.心室颤动
E.窦性心动过速
答案:D
影像学
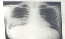
试题1:男性,26岁,受凉后寒颤高热,咳嗽,咳铁锈色痰5天(2分)
A.肺癌
B.气胸
C.正常胸片
D.肺炎
E.胸腔积液
答案:D
试题2:男,44岁。头部外伤12小时。结合CT片,此诊断为(2分)
A.硬膜下血肿
B.脑出血
C.硬膜外血肿
D.颅骨骨折
E.脑血栓
答案:C
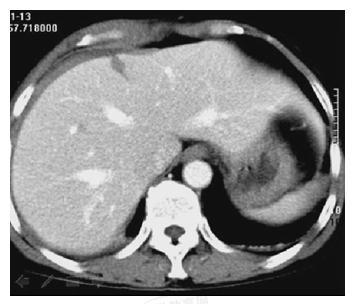
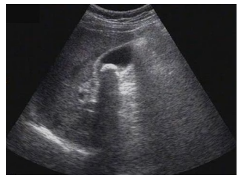
试题3:患者女性,50岁,间断上腹隐痛半年,诊断为(2分)
A.肝癌
B.肝硬化
C.胆囊结石
D.肾结石
E.急性胆囊炎
【答案】C
心肺听诊
试题1:请指出圆圈所画部位为何瓣膜听诊区(3分)
A.肺动脉瓣区
B.主动脉瓣区
C.主动脉瓣第二听诊区
D.二尖瓣区
E.三尖瓣区
答案:D
试题2:请指出圆圈所画部位为何听诊区(4分)
A.肺动脉瓣区
B.二尖瓣区
C.三尖瓣区
D.主动脉瓣第二听诊区
E.主动脉瓣区
答案:A
【16道历年模拟试题】
【答案】C
【答案】D
【答案】A
【答案】C

【答案】D
【答案】B
【答案】B
【答案】C
【答案】B
【答案】D
【答案】C
【答案】C
男性,55岁,上腹隐痛约十年,请做出正确诊断
A.胃癌
B.胃溃疡
C.十二指肠溃疡
D.食管癌
E.胃憩室
【答案】B
男,45岁,摔伤40分钟,诊断为
A.右尺骨骨折
B.右桡骨骨折
C.右肱骨骨折
D.左肱骨骨折
E.右肱骨骨质疏松
【答案】C

患者,女性,20岁。胸腹部被车撞伤5小时。诊断为
A.肝破裂
B.脾破裂
C.肝脾破裂
D.肝肾挫裂伤
E.肾损伤
【答案】A

男55岁,左侧肢体偏瘫4小时,有高血压史,诊断为
A.急性硬膜下血肿
B.急性硬膜外血肿
C.颅骨骨折
D.急性脑梗死
E.急性脑出血
【答案】E
编辑推荐:
全新!2021年临床执业医师实践技能模考系统上线 经典习题随时练!
做题啦!2021年临床执业医师各大科目250道历年模拟试题精选练习!
倒计时!21年临床执业医师实践技能考试在即,这样学 很上道!
21年临床执业医师实践技能考生必收藏:13大系统100个疾病诊断公式
以上关于“全国2021年临床执业医师实践技能第一站考试还原考点练习题23道(图文)”的文章由医学教育网编辑整理搜集,更多的文章随时关注医学教育网!
〖医学教育网整理,转载务必注明出处,违者将追究法律责任〗

- · 【模拟练习】2024临床执业医师实践技能真实考试得分点模拟
- · 【速来解锁】90%考生都在刷的2024临床执业医师实践技能题库!
- · 2023年临床执业医师实践技能考试系统实战模考第2套卷
- · 技能考试马上临近!据说90%的考生都在刷这个「技能题库」!
- · 2023陕西临床执业医师技能考试形式
- · 2023年临床执业医师资格实践技能考情分析(附应试小技巧)
- · 2023年实践技能考试难度将变大?在实践技能基地考,难吗?
- · 2023年临床执业医师实践技能购课指南——技能特色班
- · 2022年临床执业医师实践技能考试在国家基地怎么考?注意什么?
- · 医师法实施!门槛越来越高!2022年临床医师资格证书志在必得!



































扫一扫立即下载


