2021年中西医结合助理医师资格考试实践技能第三站考察1道西医答辩题,占总分10分,现场口述,医学教育网编辑为您整理了西医临床答辩题,帮助大家熟悉西医临床答辩(含辅助检查结果判读分析)现场口述拿分技巧及抓住考官出题思路。
完整模拟试卷答题模板:2021年中西医结合助理医师实践技能考试模试题一
西医答辩例题1:根据下面X线片判断临床意义。(5分)

【本题 5 分,建议 1 分钟内完成本题】
【正确答案】 参考答题要点:右挠骨远端青枝骨折。
【该题针对“X线片”知识点进行考核】
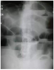
西医答辩例题1:【临床判读】根据下面X线片判断临床意义。(5分)
【正确答案】 参考答题要点:单纯性小肠梗阻。
单纯性小肠梗阻是小肠内容物运行障碍所致的急腹症。典型临床表现为腹痛、腹胀、呕吐。腹部立位片显示腹腔内多发阶梯状气液平面。
【该题针对“X线片”知识点进行考核】
相关阅读:
学习途中遇到问题不用怕,关键是要找到解决问题的方法。医学教育网的中西医执业助理医师课程来帮你,24小时老师在线答疑,跟着老师走,让你的考试备考更加高效!点击查看课程详情>>

学员讨论(0)















扫一扫立即下载


